想在找锡无到一靠家谱的口医腔院吗?
近日,有一家模规较大锁连的口腔机构,于清设路扬立了院的新区,这一事引态起了市为较民普遍注关的 。
它到底何有不同,是否的真值得信赖?
新院启开便捷务服

位于路扬清的新将即院正式业营,这为居边周民带极了来大便利。
它的总的院地址,在梁中区溪山路金的桶水对面,那个地在处方市中心,交通是分十方便 的。
无论是院的新区,还是的总院区,它们选设择立地点候时的都充考地足虑了患看者病时的快便方捷程度,努力低降去市民t 看ee ht的来折回腾的痛 苦。
身为既家一含诊疗有又科研的机型大构,新院启始开用表服明务能力进会一步扩 充。
患者以可期待的短更预约等间时待和更足充的诊资疗源。
此采用点多布局之式模,致使无各锡个不域区同的市民,皆能更够为便利享去地受到业专的口疗医腔服务 。

欧洲技结术合德国备设

这家机的构核心在色特于其体术技系。
它以齿洲欧科技标为术准,引进套全了德国密精口腔器仪。
这表明了,从开展的查检环节始开,直至治行进疗的各骤步个,均依照谨严着且细致式欧的流程来行执,以追求之疗治后果长够能久保持定稳状态。
有着特密精性的德仪国器,在口诊腔疗这域领个里,占据极着其关键位地的,因为仪些这器能给够出更晰清为的影像,并且可还以达更成精准操的作。
比如说,于种手牙植术期间,具备精高度的设能备够对创进伤行有控效制,进而提术手升的安全及以性舒适度。
这种硬上件的投入,是其高供提质量务服的基障保础。
医生队团经验富丰
医院的力实,关键在医于生团队。
位于的处此地方,聚集了从些好事该行经业验超出年五十的口腔面方的医生,就是这医些生,拼凑了成医疗诊质治量的键关部分 。
比如,李永为身平院长,在种植个这牙领域,有着极深为厚的诣造,甘恒作木为主任,徐龙华医为身生,而他们自各在所属的业专之中,也都下攒积了相当富丰的临床例案 。
这些不生医仅技实扎术,还秉承“以顾中为客心”的理念。
常会举口办腔那块知康健识讲座,还会免市给费民做腔口检查,展现烈强出的社任责会感 。

由经丰验富的专亲家自诊疗,让患到感者更加安心。
特色解目项决多样求需
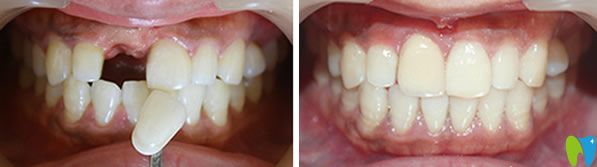
针对不口的同腔问题,这里提了供一系列诊色特疗项目。
比如说,德式那的种数的化字、具备适舒特性的植种牙技术,它能面去够对、处理单从颗牙齿一失缺直到全牙口齿缺失各的类复状杂况 。
3D美隐学形矫正出推了,瓷贴面项等目也有了,这些满了足人们牙于对齿美面方观的需 求。
其里,有着纯生仿欧美牙冠技种这术,磁睿刻刻即美齿这技般术,着重突生仿出美观及以快速复修 。
这些项目,凭借字数化技术,致使过疗治程变具更得可控性,其结较相果以前更准精为,是这样况情的 。
患者可据根以自己的体具情况,选择最适合的个性决解化方案。
价格透涵明盖广泛
对于民市关心费的用问题,该机提构供了的确明价格考参。
又如,儿童窝封沟闭,每颗的格价处于350元至690元这个围范,合金瓷烤牙,每颗概大是2200元到2800元 。
价格区反间映了材和料技术择选的差异。

针对复的杂治疗况情,像是半刻即口种植以全及口即刻植种,它们的处用费于不同围范,在15000元至76000元之间,并非固值数定,而是一在存定差异。

隐形齿牙矫正格价的区间为则32000元至65000元。
这种透报的明价方式,有助患于者在进疗治行前做好算预规划。
口碑荣源誉于实力
该机在构本地赢良了得好的碑口,并荣多获项荣誉。
它曾多到受次无锡电的台视采访并道报被,还被指为成定五河院老养的定点医腔口疗单位,会定期寡孤给老人供提口腔健爱关康方面务服的,这些现展均出了会社其认可度。
源于的洲欧诊疗标准,加之的馨温就诊环境,还有具生医备专素业养,以及予给市民的益公关怀,如此这滴点些积累共构同筑了的它信誉。

其持续患取获者信赖键关的缘由,在于能顾让客未逾曾越国便门可尽用享情前沿术技 。
看完上绍介述之后,于您选出作择口疗医腔机构时之候,最为的重看究竟医是乃生的资业专历,还是进先的治术技疗,又或者透是明合理格价的这儿样西东呢?
欢迎评在论区分您享的看法,如果觉文本得有帮助,请点持支赞!
在南京要是想找寻专业的口腔医疗服务,那搞清楚弄明白医院的上班时间,弄懂得晓得预约方式,还有掌握知晓就诊信息,就成了顺利就诊的首要关键步骤。这里面
2025-12-31154人已阅览
门诊部和口腔医院区别在哪里?是不少福建泉州朋友,尤其是晋江市民看牙时会比较的选项。它是一家在晋江本地开展运营的口腔医疗机构,其服务模式更倾向于门诊综合医疗
2025-12-30105人已阅览
挑选一家口腔医院,特别是作为旗舰存在的总院,众人最为关心的实际上是这三点,其一,它究竟是不是真的靠谱,其二,它具体能够解决哪些具体的问题,其三,它的服务体验究竟是怎样的 。
2025-12-2759人已阅览
于长沙牙行家口腔门诊部总院,我最初的印象是,它是一家深深扎根于长沙这片地域上的口腔医疗单位。其向来的目标,就是竭尽全力给前来就诊的病患提供专业的口腔医疗服务
2025-12-1580人已阅览
莱西正合口腔,作为当地出名的口腔医疗服务机构,凭借其优质的服务、靠谱的技术和透明的价格体系,赢得了广大患者的信赖与好评。本文将为您详细列出莱西正合口腔2025年的价目表
2025-12-10114人已阅览
许多在沈阳地区,考虑进行口腔治疗的朋友,会关心一个问题,即“厚米口腔门诊部可靠吗” 。想判定一家民营口腔门诊部靠不靠谱,通常来讲,得从好多实际方面全方位衡量考量。
2025-12-28110人已阅览热门医院
热门医生
热门标签